Nafas olish tizimi.

Time

Yuklangan vaqt

2025-11-08

Downloads

Yuklab olishlar soni

0

Pages

Sahifalar soni

38

File size

Fayl hajmi

3,4 MB


dars : Nafas olish tizimi.
EMBRIOLOGIYA
Logotip
dars : Nafas olish tizimi. EMBRIOLOGIYA
Tarkib
 Nafas olish tizimining 
rivojlanishi nima?
 Klinik mulohazalar
Logotip
Tarkib  Nafas olish tizimining rivojlanishi nima?  Klinik mulohazalar
Nafas olish tizimining rivojlanish jarayoni qanday?
Logotip
Nafas olish tizimining rivojlanish jarayoni qanday?
Nafas olish uchun zarur bo'lgan to'rtta asosiy jarayon 
mavjud
tizimni rivojlantirish:
 Tarmoqlanish
 Septasyon
 Alveolizatsiya
 Vaskulyarizatsiya
Nafas olish tizimi
Logotip
Nafas olish uchun zarur bo'lgan to'rtta asosiy jarayon mavjud tizimni rivojlantirish:  Tarmoqlanish  Septasyon  Alveolizatsiya  Vaskulyarizatsiya Nafas olish tizimi
Nafas olish tizimi
O'pka rivojlanish bosqichlari :
 
Har bir erta tug'ilgan bola havo oladi: 
E brionik
P seudoglandular
C analikulyar 
T erminal qopcha ( sakkulyar )
Lveolyar 
Logotip
Nafas olish tizimi O'pka rivojlanish bosqichlari :   Har bir erta tug'ilgan bola havo oladi:  E brionik P seudoglandular C analikulyar  T erminal qopcha ( sakkulyar ) Lveolyar
Nafas olish tizimi
Logotip
Nafas olish tizimi
Nafas olish tizimi
Logotip
Nafas olish tizimi
Nafas olish tizimi
Logotip
Nafas olish tizimi
Nafas olish tizimi
Logotip
Nafas olish tizimi
Nafas olish tizimi
Embrion
O'pka kurtaklari Ž> traxeya Ž> bronxial kurtaklar
Ushbu bosqichdagi xatolar traxeozofagial oqmaga olib kelishi 
mumkin.
Logotip
Nafas olish tizimi Embrion O'pka kurtaklari Ž> traxeya Ž> bronxial kurtaklar Ushbu bosqichdagi xatolar traxeozofagial oqmaga olib kelishi mumkin.
Nafas olish tizimi
Rivojlanishning 33 kunida o'pka kurtaklari qizilo'ngachning ikkala 
tomonida joylashgan chap va o'ng shoxlarga yoki bronxial 
kurtaklarga bo'linadi . Bu kurtaklar chap va o'ng asosiy bronxlarga 
aylanadi. Keyinchalik, ikkilamchi bronxlarni ifodalovchi bronxial 
kurtaklarning tez segmentatsiyasi keyinchalik chap o'pkaning ikkita 
bo'lagi va o'ng o'pkaning uchta bo'lagiga o'tadi. Ushbu proksimal 
havo yo'llarining har biri ustunli epiteliya bilan qoplangan. 
Yurakning joylashishi tufayli o'ng asosiy bronx vertikal 
yo'naltirilgan bo'lib, chap asosiy bronxdan kattaroqdir.
Logotip
Nafas olish tizimi Rivojlanishning 33 kunida o'pka kurtaklari qizilo'ngachning ikkala tomonida joylashgan chap va o'ng shoxlarga yoki bronxial kurtaklarga bo'linadi . Bu kurtaklar chap va o'ng asosiy bronxlarga aylanadi. Keyinchalik, ikkilamchi bronxlarni ifodalovchi bronxial kurtaklarning tez segmentatsiyasi keyinchalik chap o'pkaning ikkita bo'lagi va o'ng o'pkaning uchta bo'lagiga o'tadi. Ushbu proksimal havo yo'llarining har biri ustunli epiteliya bilan qoplangan. Yurakning joylashishi tufayli o'ng asosiy bronx vertikal yo'naltirilgan bo'lib, chap asosiy bronxdan kattaroqdir.
Nafas olish tizimi
KLINIK KORRELATSIYA
Kattaroq begona jismlar deyarli har doim o'ng asosiy bronxga 
so'riladi , chunki u chapga qaraganda kattaroq va vertikalroq 
yo'naltirilgan.
Logotip
Nafas olish tizimi KLINIK KORRELATSIYA Kattaroq begona jismlar deyarli har doim o'ng asosiy bronxga so'riladi , chunki u chapga qaraganda kattaroq va vertikalroq yo'naltirilgan.
Nafas olish tizimi
KLINIK KORRELATSIYA
Septumning paydo bo'lishi juda muhimdir , chunki bu ikki naycha 
o'rtasidagi bog'liqlik proksimal qizilo'ngach atreziyasiga (EA) yoki 
distal traxeozofagial oqmaga (TEF) olib kelishi mumkin, bu esa 
qizilo'ngachning anormal rivojlanishiga va tug'ilishdan keyin og'ir 
pnevmoniyaga olib keladi. Traxeozofagial bilan bog'liq turli xil 
patologiyalar septal malformatsiya.
Logotip
Nafas olish tizimi KLINIK KORRELATSIYA Septumning paydo bo'lishi juda muhimdir , chunki bu ikki naycha o'rtasidagi bog'liqlik proksimal qizilo'ngach atreziyasiga (EA) yoki distal traxeozofagial oqmaga (TEF) olib kelishi mumkin, bu esa qizilo'ngachning anormal rivojlanishiga va tug'ilishdan keyin og'ir pnevmoniyaga olib keladi. Traxeozofagial bilan bog'liq turli xil patologiyalar septal malformatsiya.
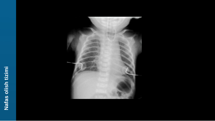
Nafas olish tizimi
Traxeozofagial 
anomaliyalar
traxeozofagial oqma (TEF) bilan qizilo'ngach atreziyasi (EA) eng 
keng tarqalgan (85%) va ko'pincha bachadonda polihidramnioz sifatida 
namoyon bo'ladi (homilaning amniotik suyuqlikni yuta olmasligi 
sababli).
Yangi tug'ilgan chaqaloqlar birinchi oziqlantirishda oqadi, 
bo'g'iladi va qusadi . TEFlar havoning oshqozonga kirishiga imkon 
beradi (CXRda ko'rinadi). Siyanoz laringospazmdan 2 ° gacha 
(reflyuks bilan bog'liq aspiratsiyani oldini olish uchun). Klinik 
tekshiruv: nazogastral naychani oshqozonga o'tkazmaslik .
H - tipidagi fistula H harfiga o'xshaydi . Sof EAda CXR gazsiz 
qorinni ko'rsatadi.
Logotip
Nafas olish tizimi Traxeozofagial anomaliyalar traxeozofagial oqma (TEF) bilan qizilo'ngach atreziyasi (EA) eng keng tarqalgan (85%) va ko'pincha bachadonda polihidramnioz sifatida namoyon bo'ladi (homilaning amniotik suyuqlikni yuta olmasligi sababli). Yangi tug'ilgan chaqaloqlar birinchi oziqlantirishda oqadi, bo'g'iladi va qusadi . TEFlar havoning oshqozonga kirishiga imkon beradi (CXRda ko'rinadi). Siyanoz laringospazmdan 2 ° gacha (reflyuks bilan bog'liq aspiratsiyani oldini olish uchun). Klinik tekshiruv: nazogastral naychani oshqozonga o'tkazmaslik . H - tipidagi fistula H harfiga o'xshaydi . Sof EAda CXR gazsiz qorinni ko'rsatadi.
Nafas olish tizimi
Logotip
Nafas olish tizimi
Nafas olish tizimi
Logotip
Nafas olish tizimi
Nafas olish tizimi
Logotip
Nafas olish tizimi
Nafas olish tizimi
Psevdoglandular bosqich (5-17 hafta)
Psevdoglandular bosqich atrofdagi mezodermadan ajralib 
chiqadigan fibroblast o'sish omillari ( masalan , FGF-10) tomonidan 
ko'rsatilgan havo yo'llari va qon tomirlarining keng tarmoqlanishi bilan 
ajralib turadi. Asosiy bronxlar avval bronxiolalarga, so'ngra terminal 
bronxiolalarga tarqalib, o'tkazuvchan havo yo'llari tizimini tugatadi.
Ustunsimon epiteliydan kubsimon epiteliyga o'tish yangi, 
distal havo yo'llarida ham sodir bo'ladi. Biroq, bu hujayralarning 
sitoplazmasi kam tabaqalangan va glikogenga boy bo'lib, kam sonli 
mikrovilluslar va yetilmagan kiprikchalar mavjud. Shu sababli va 
nafas olish bronxiolalari va alveolalari hali mavjud emasligi sababli, 
o'pka bu bosqichda hayotni saqlab tura olmaydi.
Logotip
Nafas olish tizimi Psevdoglandular bosqich (5-17 hafta) Psevdoglandular bosqich atrofdagi mezodermadan ajralib chiqadigan fibroblast o'sish omillari ( masalan , FGF-10) tomonidan ko'rsatilgan havo yo'llari va qon tomirlarining keng tarmoqlanishi bilan ajralib turadi. Asosiy bronxlar avval bronxiolalarga, so'ngra terminal bronxiolalarga tarqalib, o'tkazuvchan havo yo'llari tizimini tugatadi. Ustunsimon epiteliydan kubsimon epiteliyga o'tish yangi, distal havo yo'llarida ham sodir bo'ladi. Biroq, bu hujayralarning sitoplazmasi kam tabaqalangan va glikogenga boy bo'lib, kam sonli mikrovilluslar va yetilmagan kiprikchalar mavjud. Shu sababli va nafas olish bronxiolalari va alveolalari hali mavjud emasligi sababli, o'pka bu bosqichda hayotni saqlab tura olmaydi.
Nafas olish tizimi
Kanalikulyar bosqich (16-25 hafta )
Rudimentar asinuslar kanalikulyar bosqichda hosil bo'ladi . Asinus 
nafas olish bronxiolasidan, alveolyar yo'llardan va alveolyar 
qoplardan iborat ; birgalikda ular gaz almashinuvi sodir bo'lishi mumkin 
bo'lgan nafas olish zonasini bildiradi. Ushbu bosqichda nafas olish 
bronxiolalari ko'zga tashlanadi va ularning epiteliysi mos ravishda 
gaz almashinuvi va sirt faol moddalar ishlab chiqarishda 
Logotip
Nafas olish tizimi Kanalikulyar bosqich (16-25 hafta ) Rudimentar asinuslar kanalikulyar bosqichda hosil bo'ladi . Asinus nafas olish bronxiolasidan, alveolyar yo'llardan va alveolyar qoplardan iborat ; birgalikda ular gaz almashinuvi sodir bo'lishi mumkin bo'lgan nafas olish zonasini bildiradi. Ushbu bosqichda nafas olish bronxiolalari ko'zga tashlanadi va ularning epiteliysi mos ravishda gaz almashinuvi va sirt faol moddalar ishlab chiqarishda
Nafas olish tizimi
Sakkulyar bosqich (tug'ilishgacha 24 
hafta )
Dastlabki xaltacha bosqichida , ya'ni terminal sakkulyar bosqich 
deb ham ataladi - ilgari havo bo'shliqlari orasidagi ko'zga ko'ringan 
mezenxima degeneratsiyalanib, yanada etuk alveolyar yo'llar va 
terminal alveolyar qoplarni hosil qiladi. Bundan tashqari, elastik 
tolalar bilan septatsiya alveolyar qoplarni kichikroq birliklarga 
bo'lishni boshlaydi, gaz almashinuvi uchun zarur bo'lgan kapillyarlar 
bilan yanada yaqinroq, ammo to'liq bo'lmagan aloqa.
Logotip
Nafas olish tizimi Sakkulyar bosqich (tug'ilishgacha 24 hafta ) Dastlabki xaltacha bosqichida , ya'ni terminal sakkulyar bosqich deb ham ataladi - ilgari havo bo'shliqlari orasidagi ko'zga ko'ringan mezenxima degeneratsiyalanib, yanada etuk alveolyar yo'llar va terminal alveolyar qoplarni hosil qiladi. Bundan tashqari, elastik tolalar bilan septatsiya alveolyar qoplarni kichikroq birliklarga bo'lishni boshlaydi, gaz almashinuvi uchun zarur bo'lgan kapillyarlar bilan yanada yaqinroq, ammo to'liq bo'lmagan aloqa.
Nafas olish tizimi
Logotip
Nafas olish tizimi
Nafas olish tizimi
Protein molekulalariga boy bo'lgan sirt faol modda , bu suv 
molekulalarining yopishqoqligini to'xtatib, sirt tarangligini pasaytiradi , 
shuning uchun alveolyar qoplar ochiq qoladi.
 Surfaktantning o'zi homilaning hayotiyligini qisman aniqlaydigan 
fosfolipidlarga boy suyuqlikdir . Sirt faol moddalar ishlab 
chiqarish taxminan 20 haftadan boshlanadi, lekin juda oz 
miqdorda mavjud. Etarli sirt faol moddasi bo'lmasa, nafas olish 
paytida alveolalar yiqilib, gaz almashinuvi uchun mavjud bo'lgan sirt 
maydonini cheklaydi.
Logotip
Nafas olish tizimi Protein molekulalariga boy bo'lgan sirt faol modda , bu suv  molekulalarining yopishqoqligini to'xtatib, sirt tarangligini pasaytiradi , shuning uchun alveolyar qoplar ochiq qoladi.  Surfaktantning o'zi homilaning hayotiyligini qisman aniqlaydigan fosfolipidlarga boy suyuqlikdir . Sirt faol moddalar ishlab chiqarish taxminan 20 haftadan boshlanadi, lekin juda oz miqdorda mavjud. Etarli sirt faol moddasi bo'lmasa, nafas olish paytida alveolalar yiqilib, gaz almashinuvi uchun mavjud bo'lgan sirt maydonini cheklaydi.
Nafas olish tizimi
KLINIK KORRELATSIYA
Bu juda muhim tushuncha. Tibbiyotda biz chaqaloqning o'z-o'zidan 
nafas olishi uchun etarli sirt faol moddasi mavjudligini bilganimizda, 
taxminan 34 haftagacha erta tug'ilishning oldini olishga harakat 
qilamiz. Darhaqiqat, homilador ayol juda erta tug'ilishga kirganida, 
tug'ruqdan oldin akusherlar unga homilada sirt faol moddalar ishlab 
chiqarishni ko'paytirish uchun dori-darmonlarni berishadi. Agar tug'ilish 
paytida sirt faol moddalar etarli bo'lmasa, chaqaloq neonatal respirator 
distress sindromiga (NRDS) moyil bo'ladi.
Logotip
Nafas olish tizimi KLINIK KORRELATSIYA Bu juda muhim tushuncha. Tibbiyotda biz chaqaloqning o'z-o'zidan nafas olishi uchun etarli sirt faol moddasi mavjudligini bilganimizda, taxminan 34 haftagacha erta tug'ilishning oldini olishga harakat qilamiz. Darhaqiqat, homilador ayol juda erta tug'ilishga kirganida, tug'ruqdan oldin akusherlar unga homilada sirt faol moddalar ishlab chiqarishni ko'paytirish uchun dori-darmonlarni berishadi. Agar tug'ilish paytida sirt faol moddalar etarli bo'lmasa, chaqaloq neonatal respirator distress sindromiga (NRDS) moyil bo'ladi.
Nafas olish tizimi
Alveolyar bosqich (36 haftadan 8 yoshgacha)
 Alveolizatsiya bu bosqichda sodir bo'ladi, o'pkaning ichki yuzasi , 
alveolyar qoplarning ko'proq vaskulyarizatsiyasi bilan bir qatorda 
asinilarning ko'payishi orqali ortadi . Tug'ilganda, alveolalarning 
ko'pchiligi etuk emas - tug'ruqdan keyingi davrda taxminan 95% etuk. 
Ba'zi tadqiqotlar shuni ko'rsatadiki, o'pkaning etukligi 300 million etuk 
alveolalar paydo bo'lgan 8 yoshgacha davom etadi.
Logotip
Nafas olish tizimi Alveolyar bosqich (36 haftadan 8 yoshgacha)  Alveolizatsiya bu bosqichda sodir bo'ladi, o'pkaning ichki yuzasi , alveolyar qoplarning ko'proq vaskulyarizatsiyasi bilan bir qatorda asinilarning ko'payishi orqali ortadi . Tug'ilganda, alveolalarning ko'pchiligi etuk emas - tug'ruqdan keyingi davrda taxminan 95% etuk. Ba'zi tadqiqotlar shuni ko'rsatadiki, o'pkaning etukligi 300 million etuk alveolalar paydo bo'lgan 8 yoshgacha davom etadi.
Nafas olish tizimi
Logotip
Nafas olish tizimi
Nafas olish tizimi
KLINIK KORRELATSIYA
oligohidramnioz deb ataladigan holat , o'pka gipoplaziyasiga moyil 
bo'ladi - bu o'pkaning kam rivojlangan holati. Bu ko'pincha Potter 
ketma-ketligi bilan bog'liq. Potter ketma-ketligi - buyraklar 
rivojlanmagan yoki ishlamaydigan va siydik chiqara olmaydigan holat - 
amniotik suyuqlikning asosiy komponenti - oligohidramniozga olib 
keladi . Bunday kasallikka chalingan chaqaloqlar, o'pka gipoplaziyasi 
bilan birga , o'limga olib kelishi mumkin bo'lgan nafas olish 
etishmovchiligiga duchor bo'ladi.
Logotip
Nafas olish tizimi KLINIK KORRELATSIYA oligohidramnioz deb ataladigan holat , o'pka gipoplaziyasiga moyil bo'ladi - bu o'pkaning kam rivojlangan holati. Bu ko'pincha Potter ketma-ketligi bilan bog'liq. Potter ketma-ketligi - buyraklar rivojlanmagan yoki ishlamaydigan va siydik chiqara olmaydigan holat - amniotik suyuqlikning asosiy komponenti - oligohidramniozga olib keladi . Bunday kasallikka chalingan chaqaloqlar, o'pka gipoplaziyasi bilan birga , o'limga olib kelishi mumkin bo'lgan nafas olish etishmovchiligiga duchor bo'ladi.